Yosi I, CC0, via Wikimedia Commons
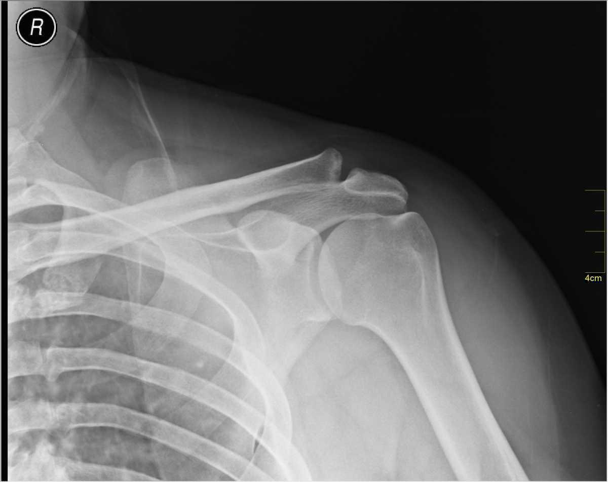
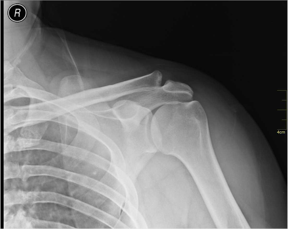
Stade I / II :
Entorse bénigne / grave : cliniquement donne une douleur à la palpation de l’articulation acromio- claviculaire.
- Traitement fonctionnel, écharpe simple selon douleurs à conserver 10 jours maximum.
- Mobilisation d’emblée.
- Si patient anxieux, prescrire kiné pour l’aider.
Stade III : Traitement orthopédique avec immobilisation 3-4 semaines.
Si stade IV-V : Avis chirurgical, car parfois geste chirurgical…même s’il est de plus en plus discuté car bonne évolution fonctionnelle malgré persistance de la déformation (séquelles esthétiques uniquement).


