Hellerhoff - Own work, CC BY-SA 3.0, Link
Majorité des cas : luxation antérieure.
Bien vérifier la sensibilité du moignon de l’épaule (nerf circonflexe) avant et après réduction (MÉDICO-LÉGAL +++)
Radio de l’épaule (F + profil de Lamy)
Si pas de fracture associée : réduction par l’urgentiste (sous sédation-analgésie : Penthrox, Meopa, kétamine/hypnovel, propofol, morphine, en association avec de l’hypnose ou de la musicothérapie).
En cas d’échec, tentative d’un(e) autre urgentiste ou avis orthopédique.
Si fracture du trochiter associée : avis chirurgical, réduction possible par l’urgentiste.
(Possibilité de TDM +/- prise en charge chirurgicale par la suite)
Si autre fracture, que celle du trochiter, associée : réduction par l’orthopédiste.
Immobilisation et consultation ortho à 10 jours.
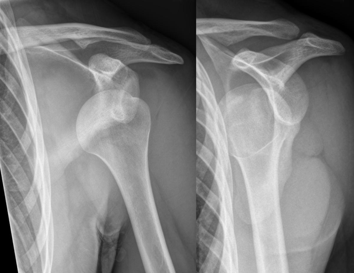
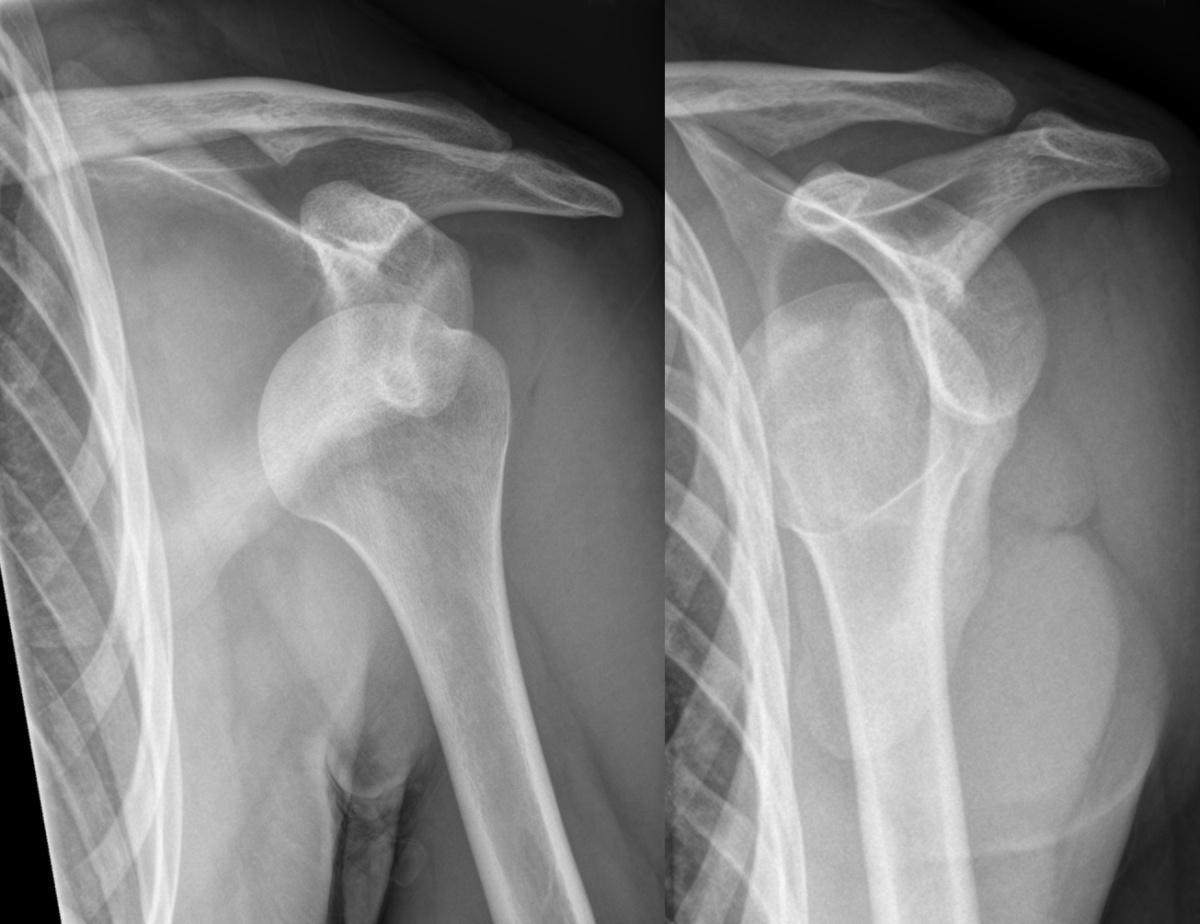
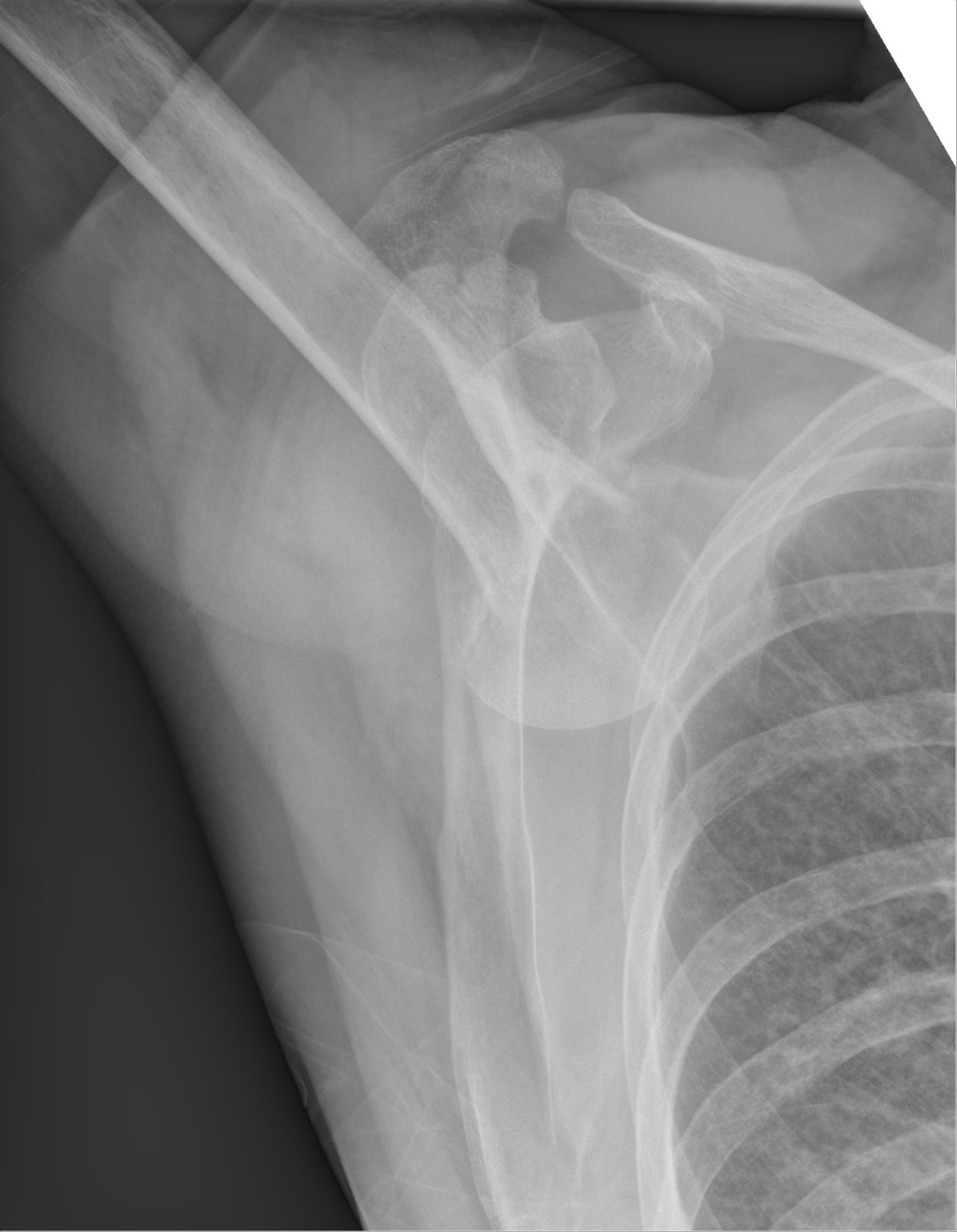
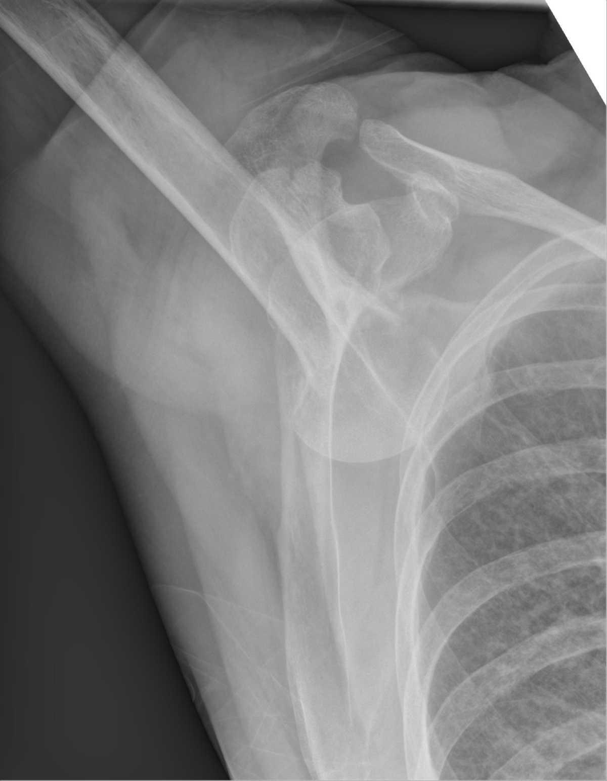
Luxation postérieure:
Y penser chez l’épileptique et en cas d’électrocution.
Aspect radiologique PIEGEUX:
- disparition de l’interligne articulaire (trop bel aspect sphérique de la tête humérale)
- cliniquement : rotation externe impossible (signe de l’aumône)
Andrew Murphy, Radiopaedia.org. From the case rID: 46646
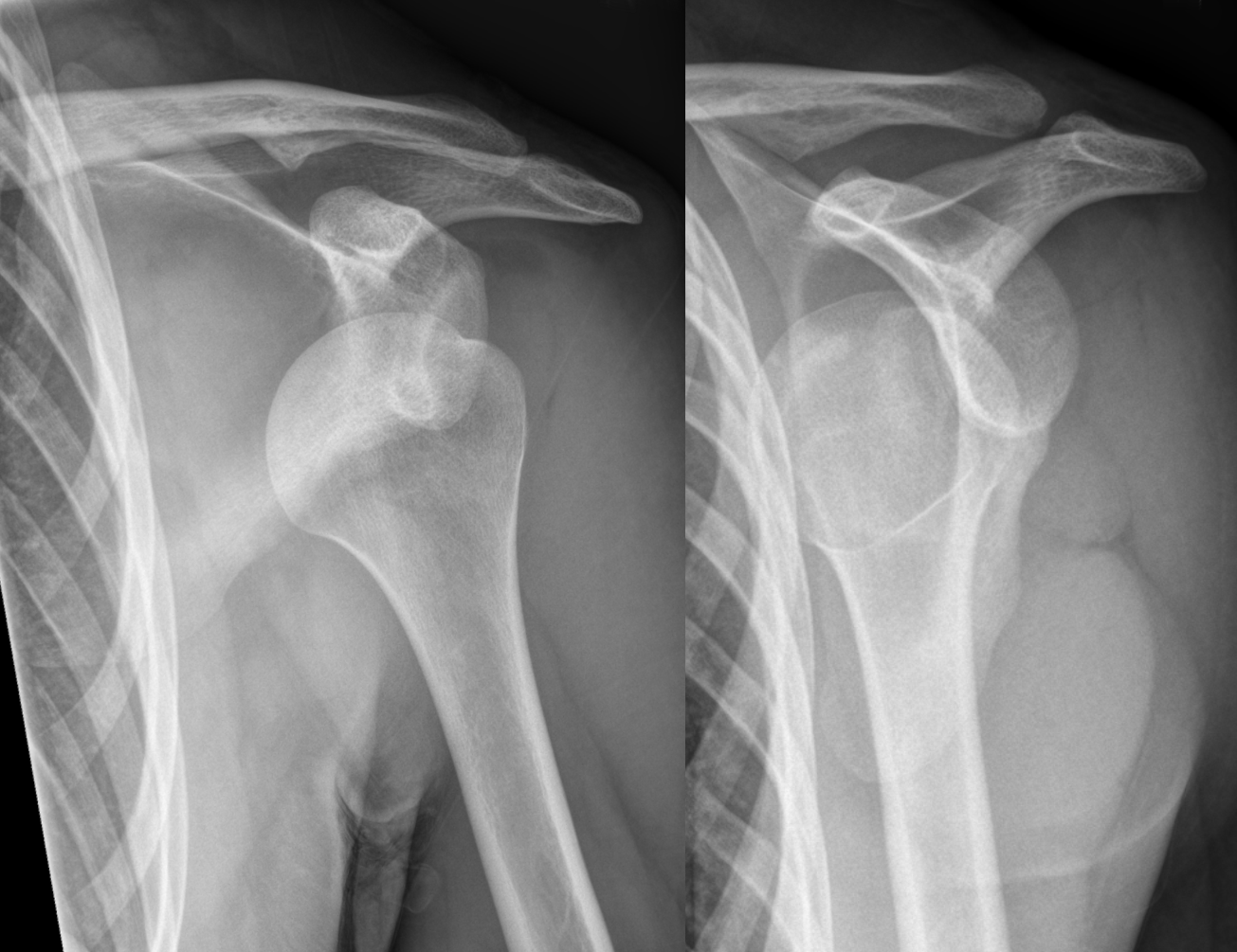
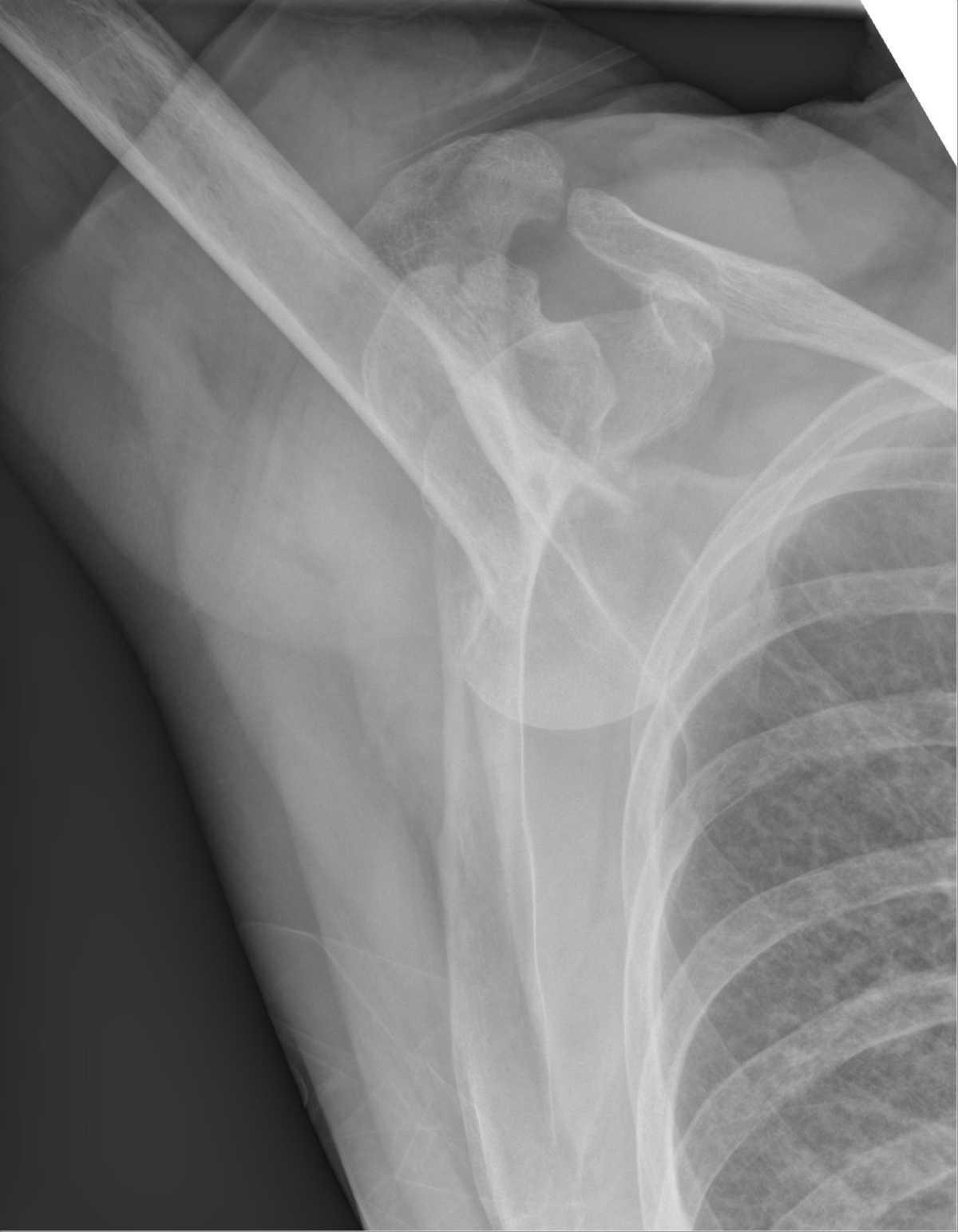
Au moindre doute : cliché de Bloom et Obata (= profil axillaire traumatologique)
Aspect normal:
Matt A. Morgan, Radiopaedia.org. From the case rID: 85739
Réduction au bloc opératoire par l’orthopédiste.
Une variante : la luxation ERECTA (bras vers le haut) : avis chirurgical et réduction au bloc opératoire.




