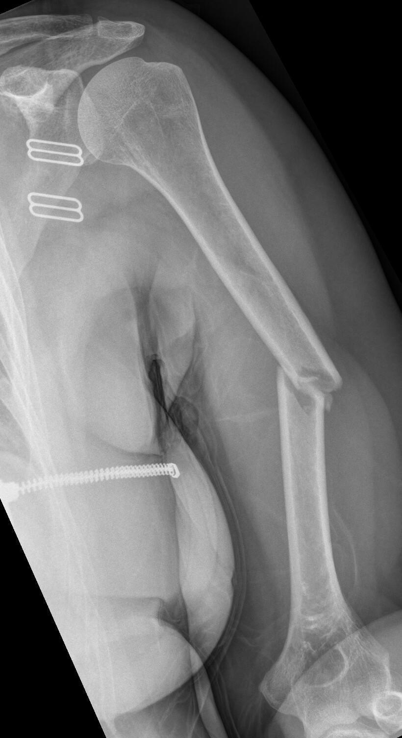
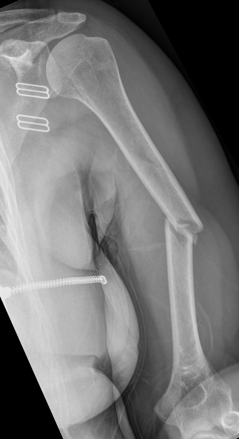
Fracture de la diaphyse humerale



Henry Knipe, Radiopaedia.org. From the case rID: 31234 

Avis chirurgical.

Il faut toujours tester le nerf radial quand fracture de la diaphyse humérale.

Test motricité : relever le poignet contre-résistance, ou signe de l’autostoppeur : extension du pouce.

Test sensibilité : force dorsale de la première commissure interdigitale.