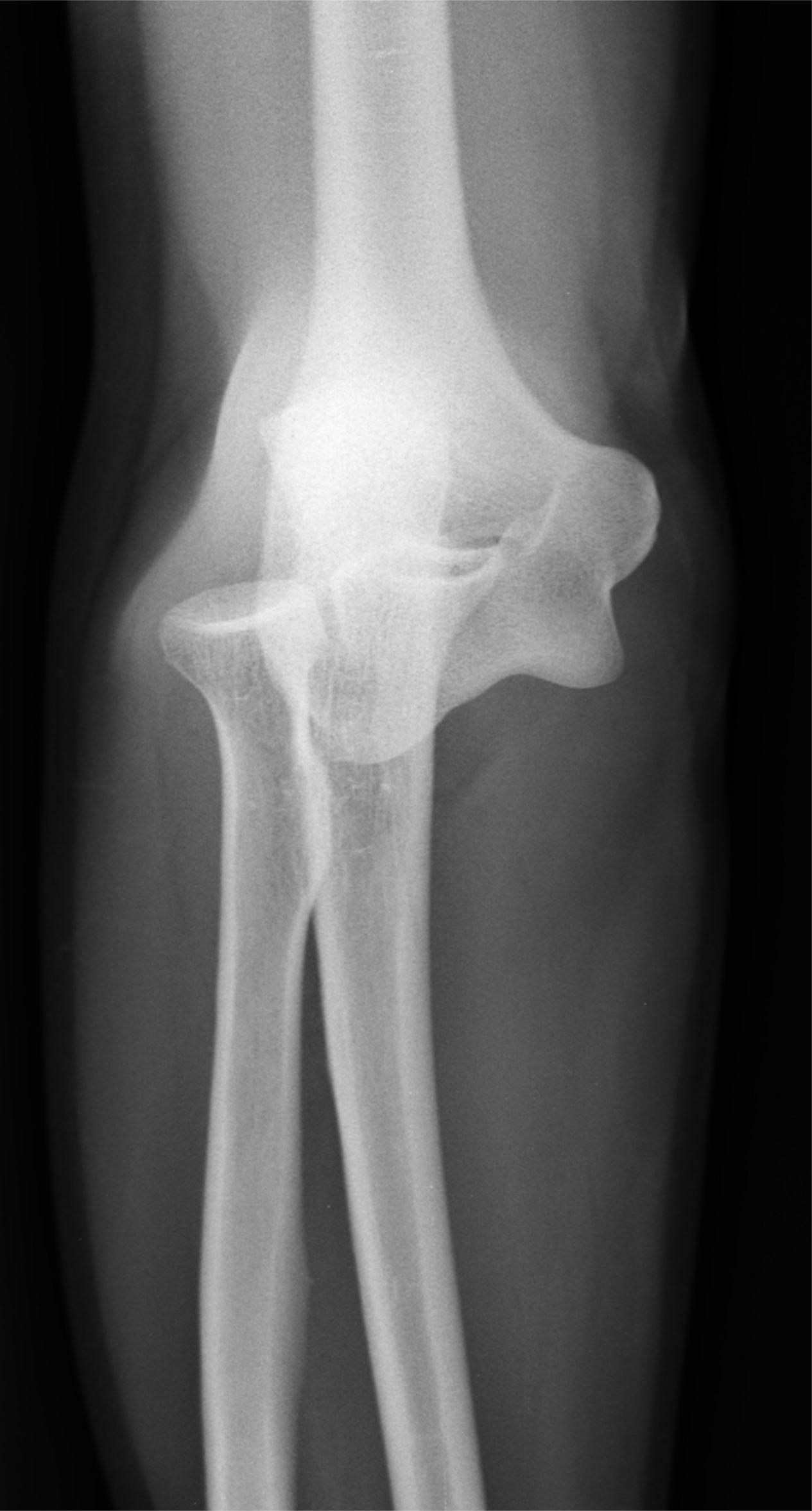
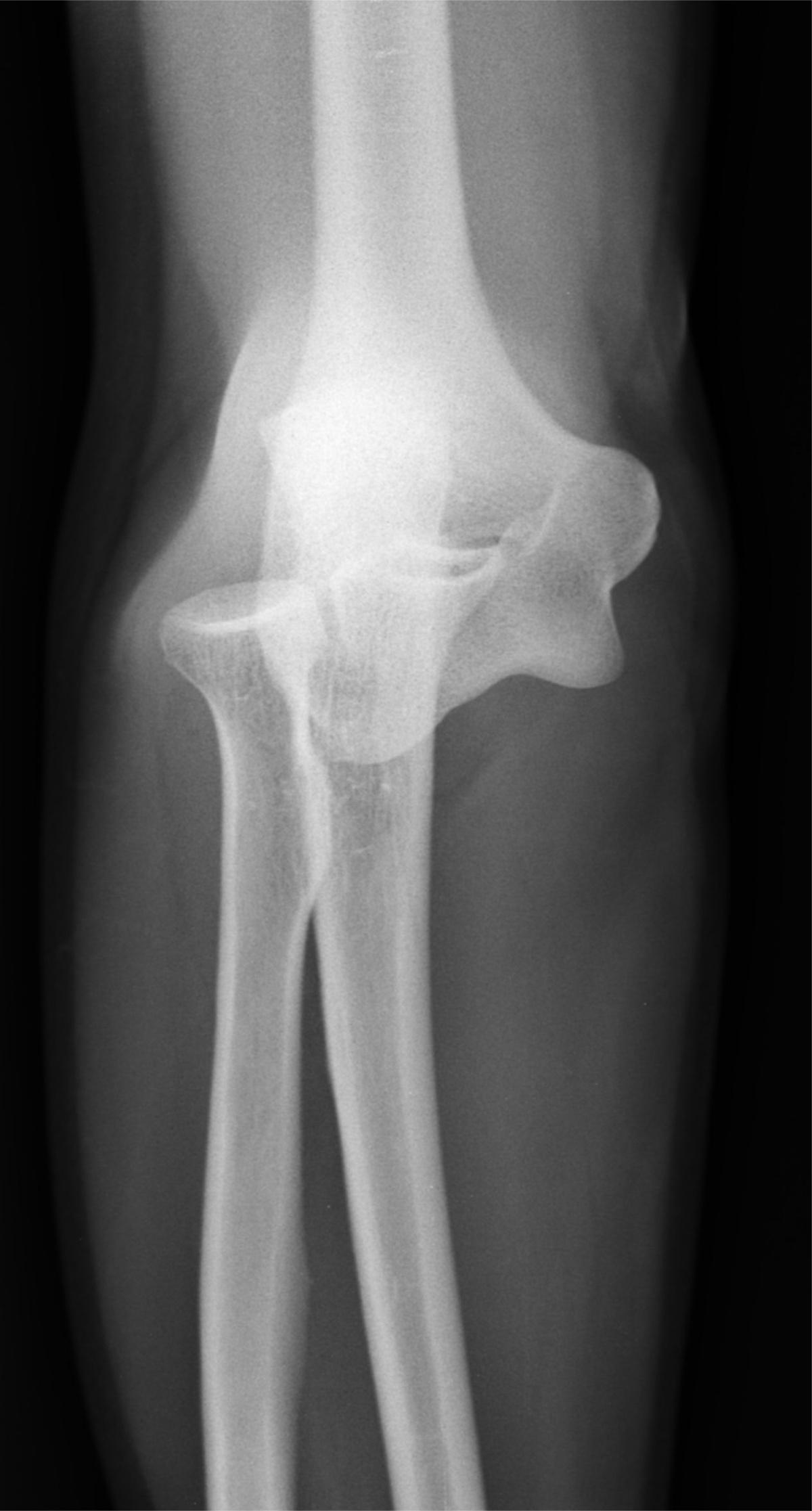
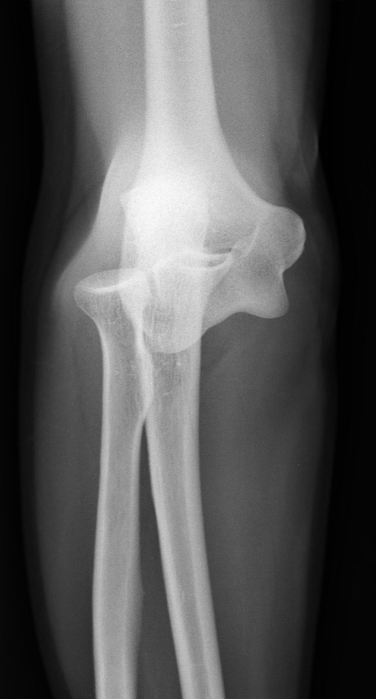
Maulik S Patel, Radiopaedia.org. From the case rID: 20406
Avis chirurgical.
Réduction par l’orthopédiste au bloc sous AG, ou vigile au SRAU pour testing ligamentaire.
Si absence de fracture et coude stable dans l’ensemble de l’arc de mobilité, écharpe simple à titre antalgique et mobilisation autorisée d’emblée.
Si coude instable ou fracture associée, immobilisation dans un BABP à 90° en pronation.
Consultation orthopédique à J10-J15 ou chirurgie en fonction des cas.

