Chitani Mbewe, Radiopaedia.org. From the case rID: 78402
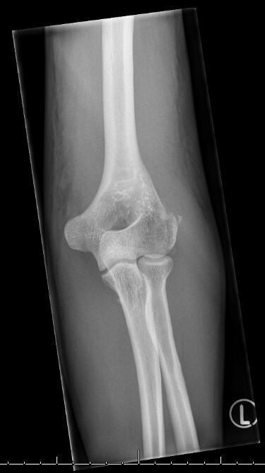
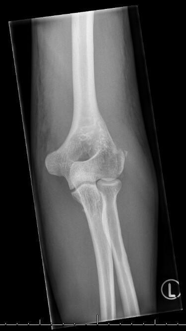
Comprend fracture de l’extrémité distale de l’humérus, fracture de l’olécrâne, fractures des extrémités proximales du radius et ulna.
Avis chirurgical.
Devant une fracture du coude, examiner systématiquement le poignet ++.

