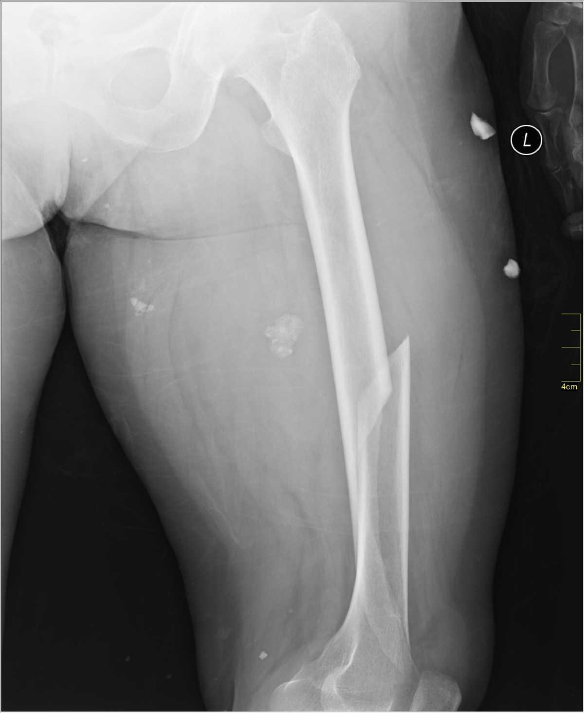
Fracture de la diaphyse femorale



© Nevit Dilmen, CC BY-SA 3.0, Link 

Antalgie.

Bloc ilio-fascial.

Attelle de Donway (maintien de l’axe fémoral le plus possible).

Risque de pertes sanguines et d’embolie graisseuse.

→ Traitement chirurgical.