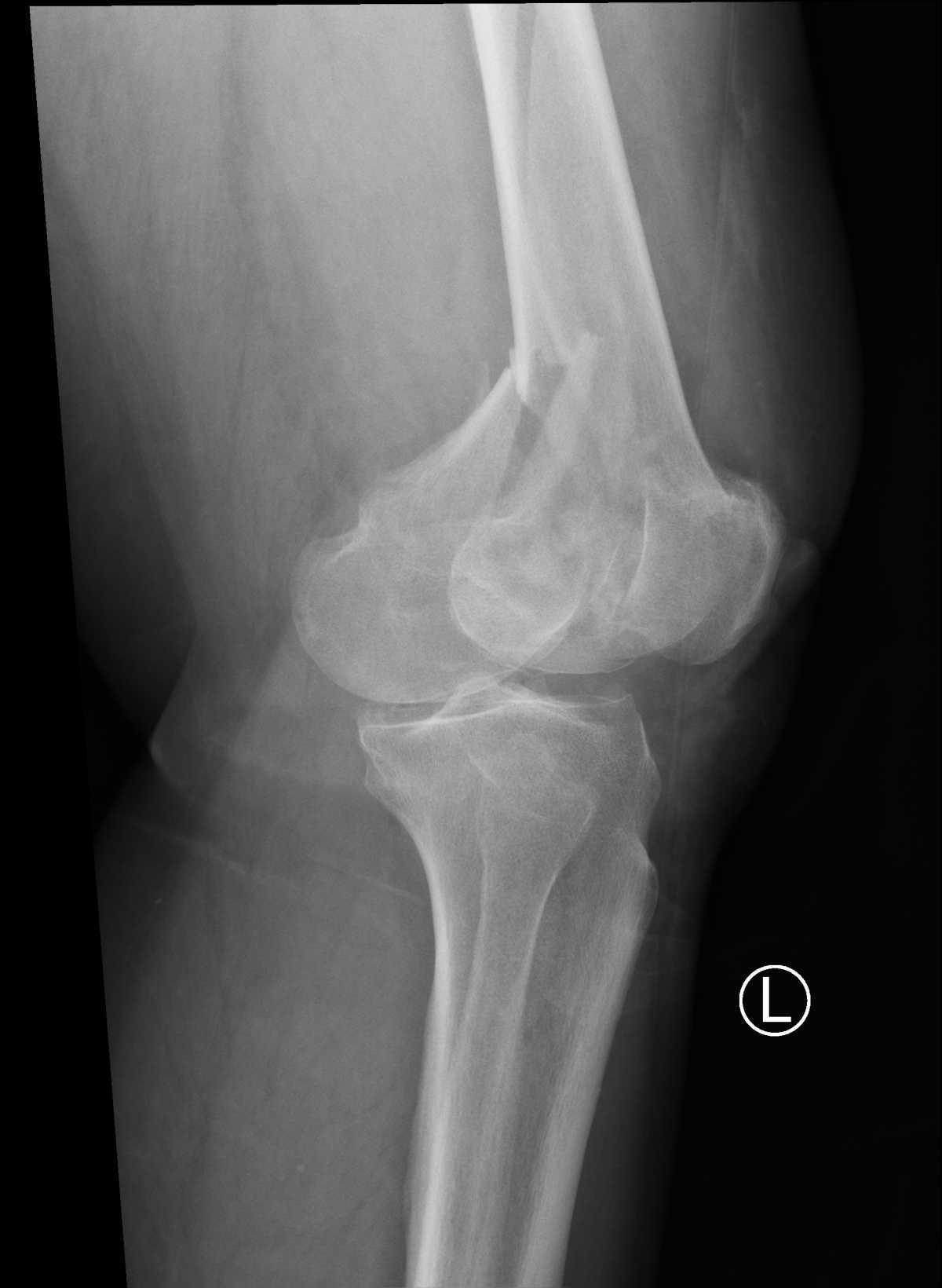
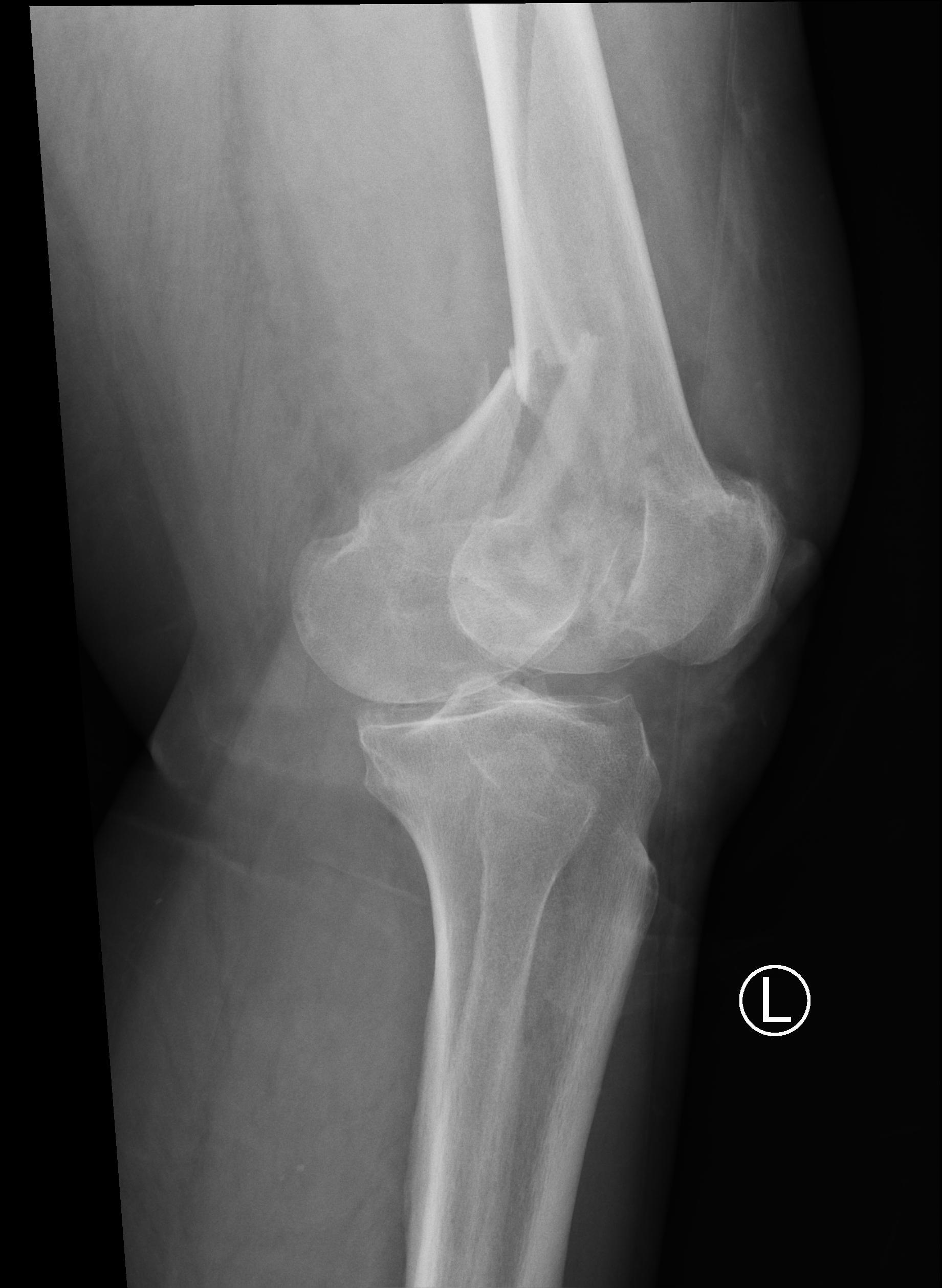
Fracture de l’extremite inferieure du femur



Kevan English, Radiopaedia.org. From the case rID: 183735 

 Avis chirurgical pour traitement chirurgical.