James Heilman, MD - Own work, CC BY-SA 3.0, Link
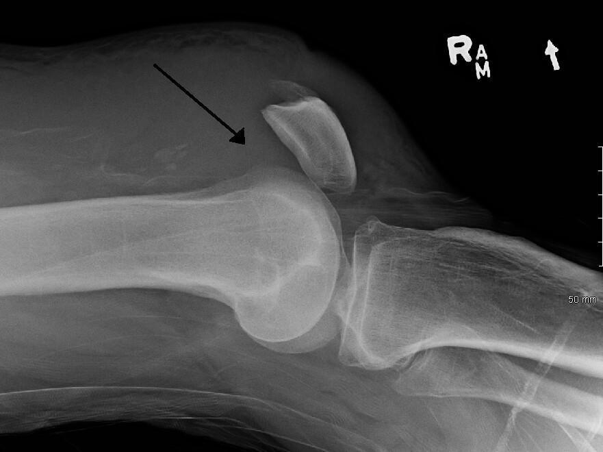
Clinique : extension du genou impossible et impossibilité de décoller le talon du lit.
Avis chirurgical pour traitement chirurgical.
Clinique : extension du genou impossible et impossibilité de décoller le talon du lit.
Avis chirurgical pour traitement chirurgical.