URG DIJON
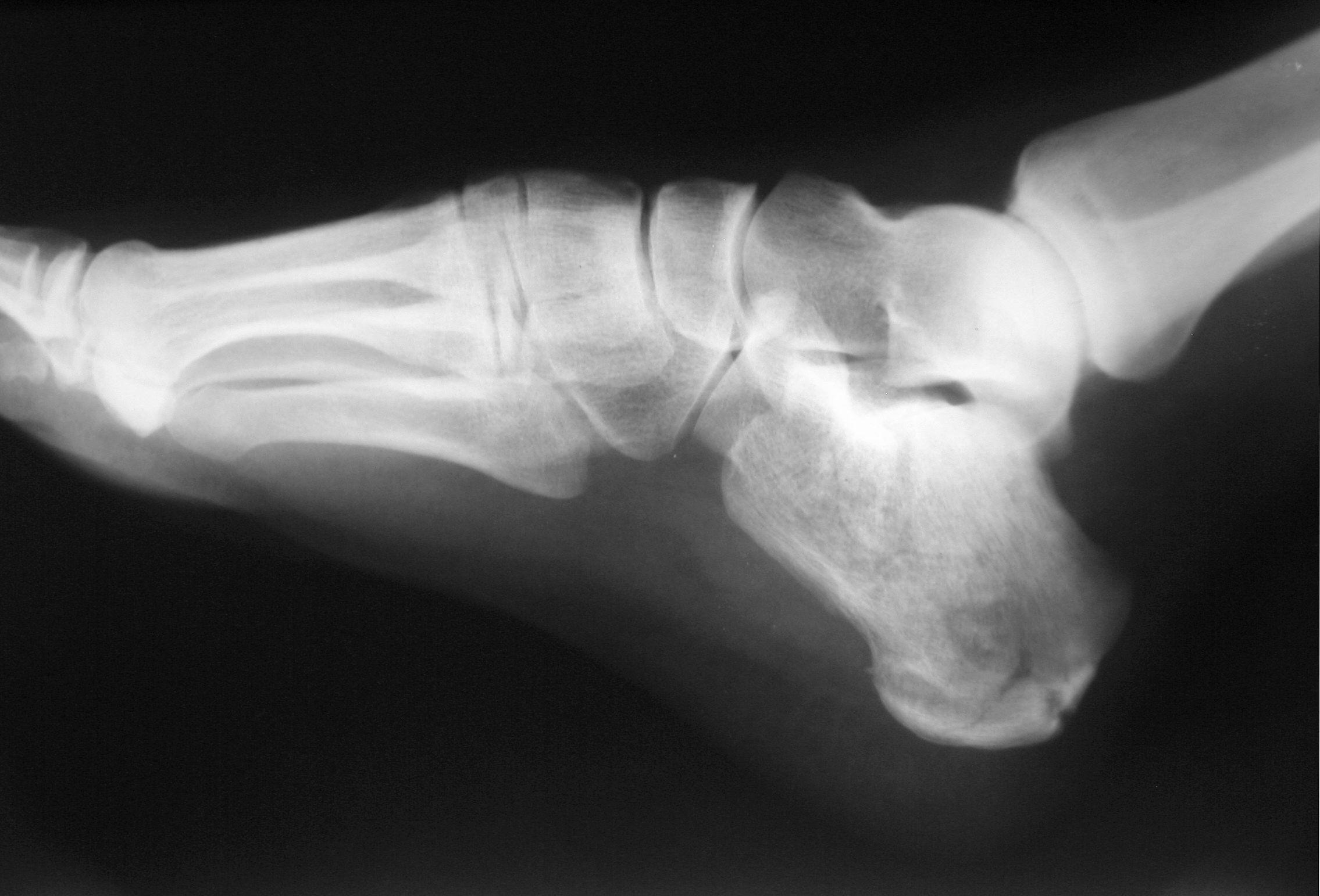
Fracture calcaneus, talus, autres os du tarse
Jojo
-
Own work
,
CC BY-SA 3.0
,
Link
Avis chirurgical.
Complément d’imagerie par
TDM du pied
.