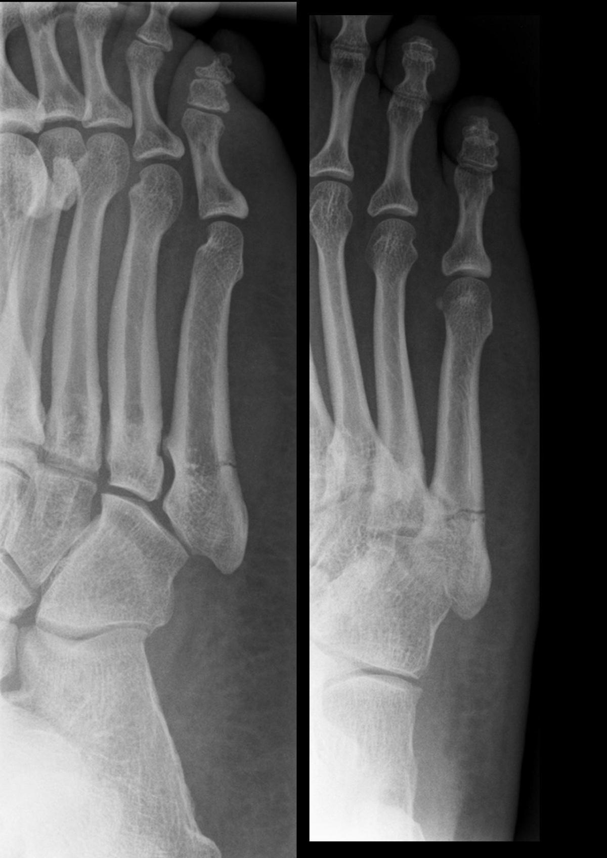
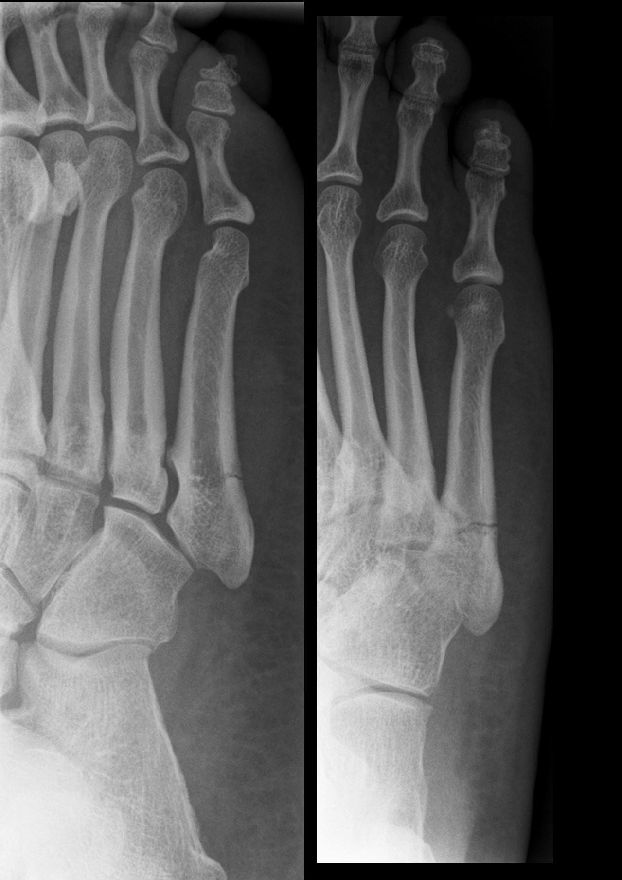
Fracture de metatarsien



Lucien Monfils - Own work, CC BY-SA 3.0, Link 

Déplacée : avis chirurgical.

Non déplacée :

  • Chaussure orthopédique type Podalux pendant 4 à 6 semaines
  • Consultation orthopédique à J15

Si fracture de la base du 5ème métatarsien (fracture de Jones ou pseudo-Jones) :

  • Avis chirurgical
  • Botte de marche courte