James Heilman, MD - File:LisFranc.png, CC BY-SA 4.0, Link
L’articulation de Lisfranc unit le tarse antérieur (les 3 cunéiformes et le cuboïde) aux métatarsiens.
L’interligne de Lisfranc permet les mouvements d’inversion et d’éversion du pied.
Mécanisme : mouvement forcé de l’avant-pied par rapport à l’arrière pied.
Testing : on empaume chaque tête de métatarsien et on la fait bouger vers le haut et vers le bas, si douleur lors de ces mouvements → rechercher une entorse.
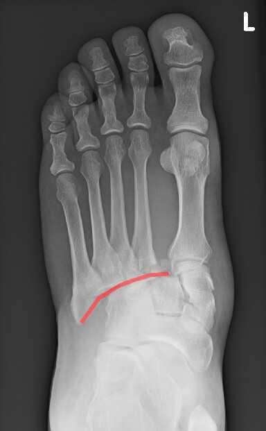
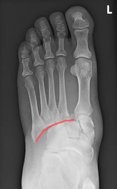
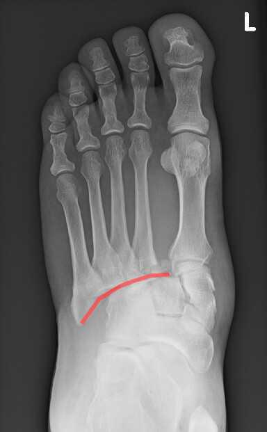
Signes radiologiques : perte des repères anatomiques normaux :
- De face : le bord de M2 doit être aligné avec le bord du 2° cunéiforme
- De profil : il n’y a pas de superposition de la base des métatarsiens avec les 2° et 3° Cunéiformes.
Devant une fracture du 5° métatarsien ou devant toute fracture spiroïde de métatarsien, rechercher une entorse de Lisfranc, car souvent associée.
Traitement : immobilisation par attelle amovible pendant 6 semaines et consultation orthopédique à J10 avec un scanner.
Si instabilité : traitement chirurgical.

