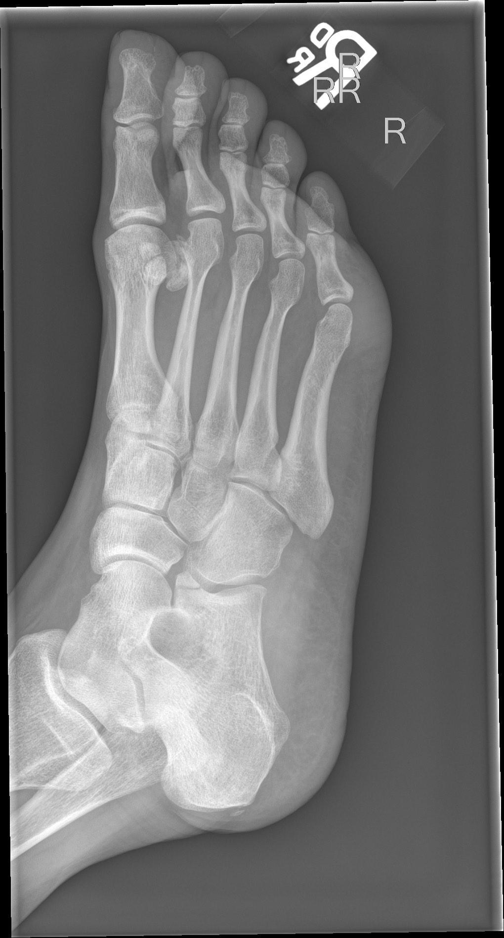
Dai Roberts, Radiopaedia.org. From the case rID: 77584
L’articulation de Chopart met en relation les os du tarse postérieur, c’est-à-dire le calcanéus et le talus, avec respectivement le cuboïde et l’os naviculaire.
On distingue deux types d’entorse de Chopart :
- L’entorse calcanéo-cuboïdienne
- L’entorse médio tarsienne complète (talo-naviculaire)
Entorse calcanéo-cuboïdienne :
C’est la plus fréquente, elle apparaît dans des circonstances banales.
Le diagnostic se fait sur :
- Une impotence fonctionnelle marquée.
- Un craquement.
- Un œdème du bord externe du pied, s’étendant jusqu’au 5° métatarsien.
- La présence d’un point douloureux à l’arrière de la styloïde du 5° métatarsien.
- Une douleur à la prono-suppination de l’avant pied quand le talon est bloqué.
Entorse médio tarsienne complète :
On la retrouve dans les polytraumatismes importants : on parle de « pied retourné ».
Cliniquement le pied présente un œdème global et est douloureux, surtout au mouvement de prono-suppination, à l’abduction et à l’inversion de l’interligne de Chopart.
Radiologiquement : présence d’un arrachement capsulaire (se traduit par un diastasis) entre le talus et l’os naviculaire ou entre le calcanéus et le cuboïde. On remarque également souvent une fracture associée du 5° métatarsien.
Traitement :
- Antalgiques et immobilisation par bandage.
- Protocole RICE.
- Attelle rigide et amovible type air Cast associée à de la Kinésithérapie.

