URG DIJON
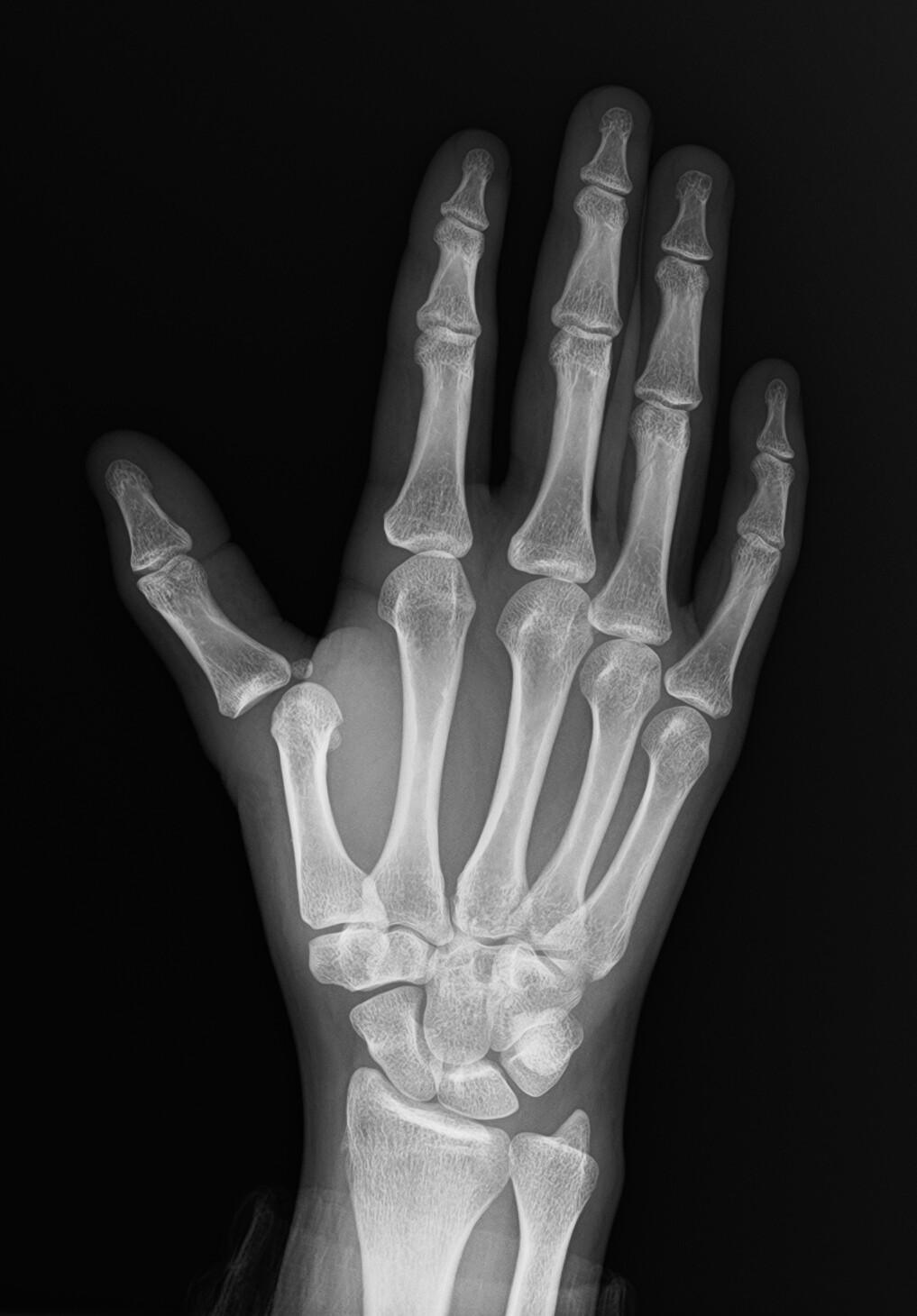
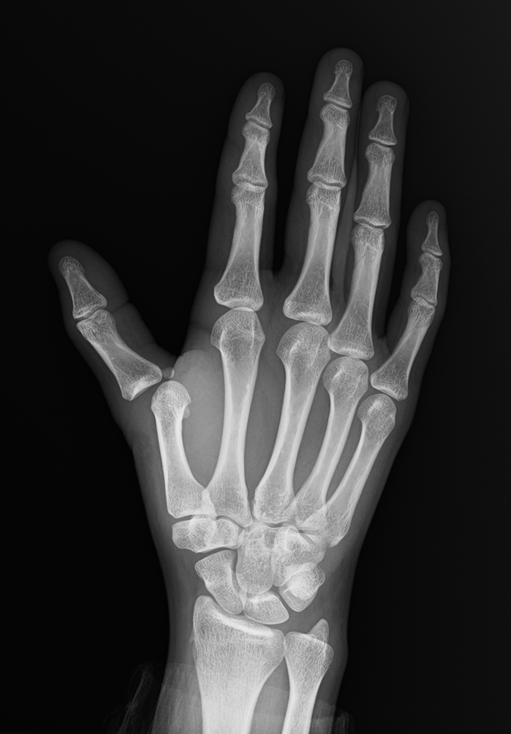
Luxation MCP du pouce
Mostafa Elfeky,
Radiopaedia.org
. From the case
rID: 160809
Avis chirurgical
systématique.
Demander une
radiographie F+P strict.