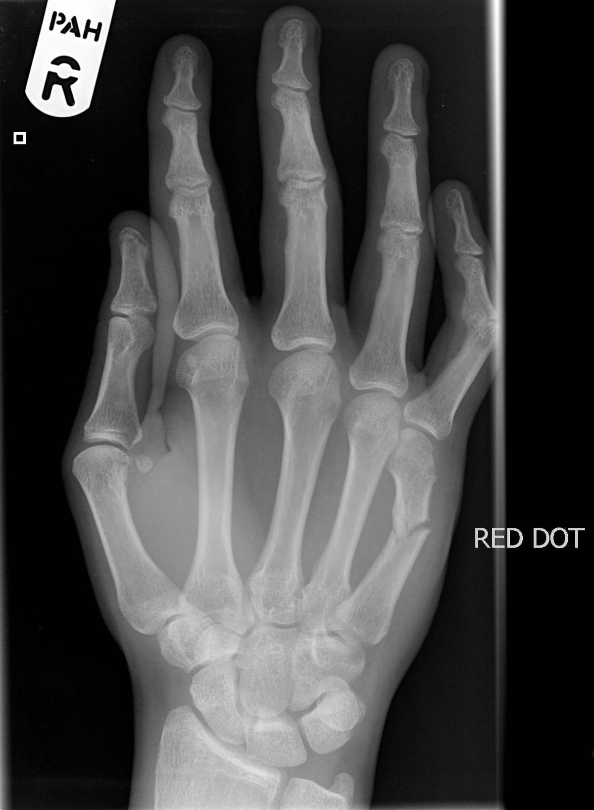
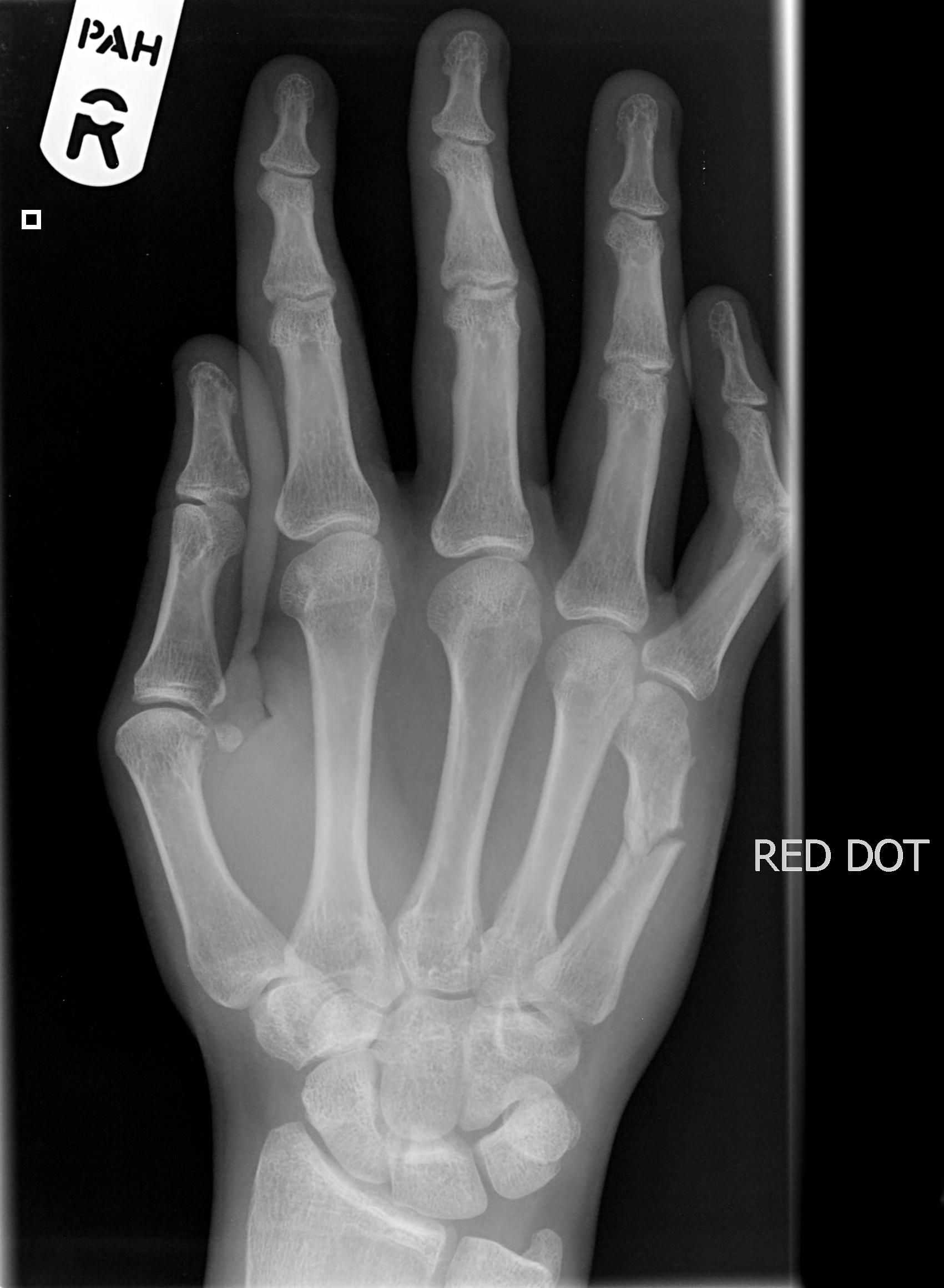
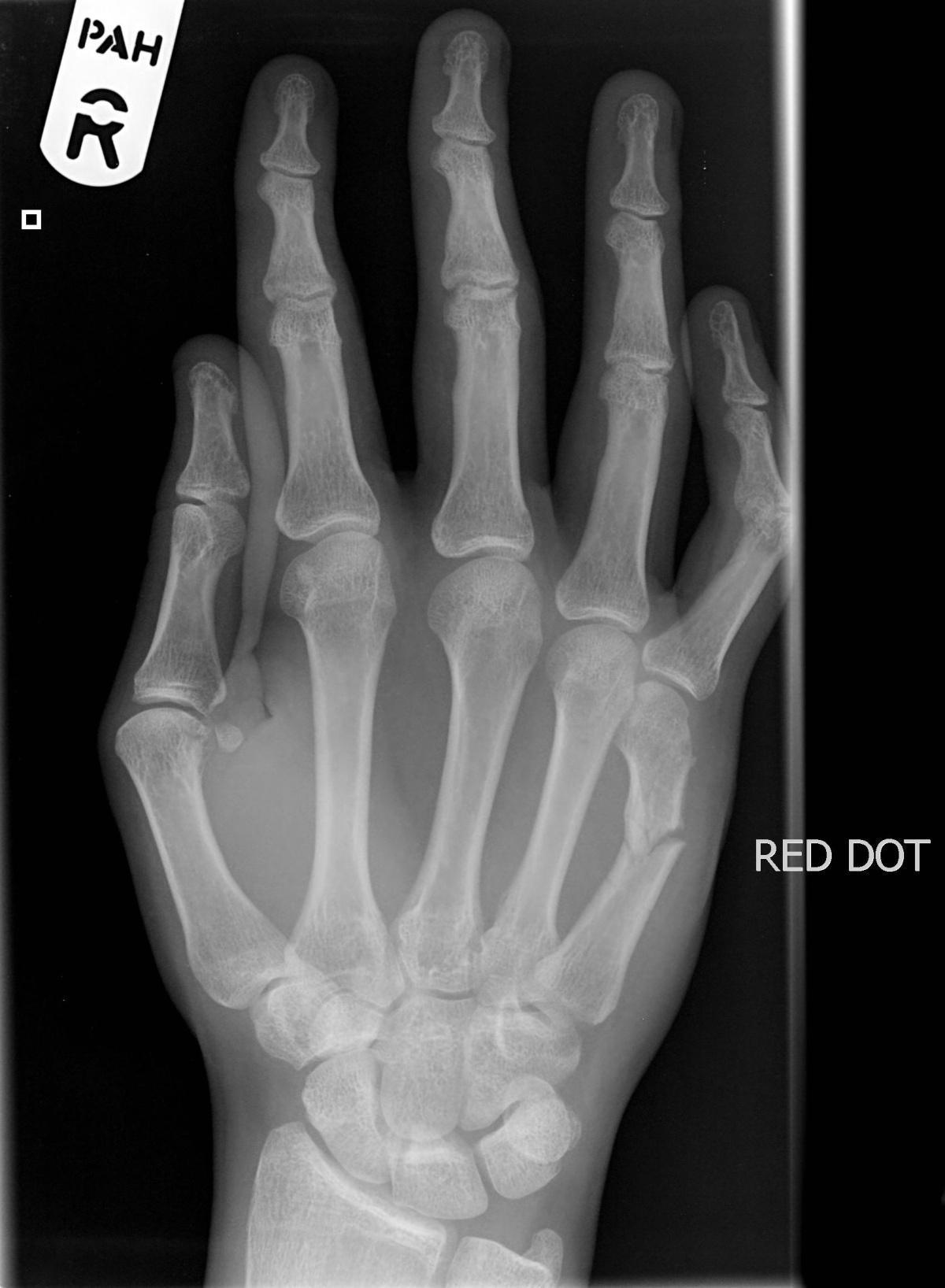
Jeremy Jones, Radiopaedia.org. From the case rID: 6428
Avis chirurgical (Si nuit, plâtre, prévenir interne CMF, Cs lendemain)
Attention si luxation base métacarpiens
Chirurgie, mettre attelle plâtrée poignet + métacarpo-phalangienne en attendant le bloc.

