Daniel J Bell, Radiopaedia.org. From the case rID: 150571
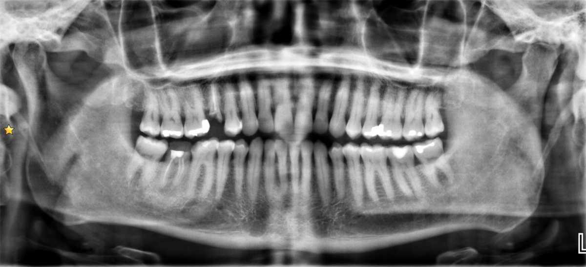
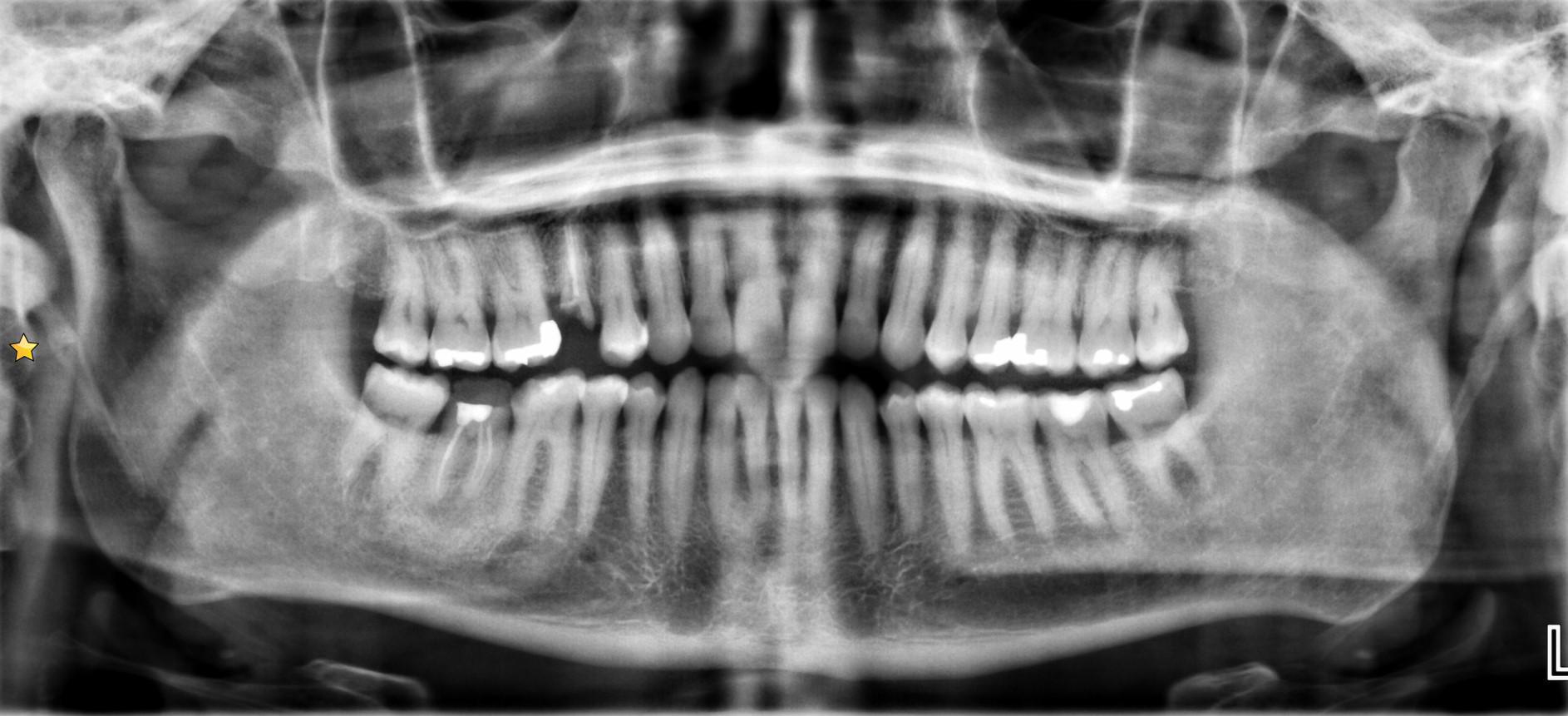
Radiographie panoramique dentaire puis hospitalisation dans le service de chirurgie maxillo-faciale pour prise en charge au bloc opératoire dans les 24H.
Radiographie panoramique dentaire puis hospitalisation dans le service de chirurgie maxillo-faciale pour prise en charge au bloc opératoire dans les 24H.