URG DIJON
Recherche
Home
Favoris
Scores
Dilutions
Epaule
Humerus
Coude/Avant-bras
Bassin
Fémur
Genou
Cheville
Pied
Main
Maxillo-facial
Rachis
Anticoagulation préventive
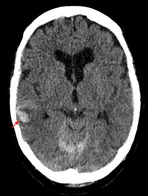
TC léger
Protocoles URG Dijon
Traumatisme cranien leger