URG DIJON
Recherche
  • Home
  • Favoris
  • Scores
  • Dilutions
Epaule Humerus Coude/Avant-bras Bassin Fémur Genou Cheville Pied Main Maxillo-facial Rachis Anticoagulation préventive TC léger
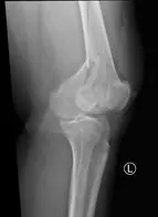
Protocoles URG Dijon
Fracture de l’extremite inferieure du femur

Protocoles URG Dijon
Fracture de l’extremite superieure du femur

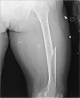
Protocoles URG Dijon
Fracture de la diaphyse femorale