URG DIJON
Recherche
Home
Favoris
Scores
Dilutions
Epaule
Humerus
Coude/Avant-bras
Bassin
Fémur
Genou
Cheville
Pied
Main
Maxillo-facial
Rachis
Anticoagulation préventive
TC léger
Protocoles URG Dijon
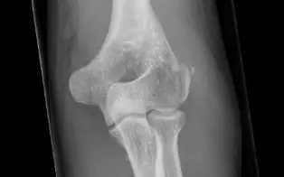
Fracture de la tete radiale
Protocoles URG Dijon
Fracture du coude
Protocoles URG Dijon
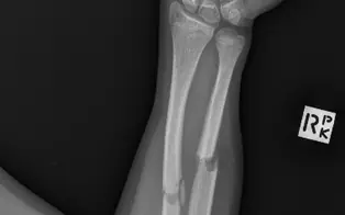
Fracture radius-ulnaire
Protocoles URG Dijon
Hygroma du coude
Protocoles URG Dijon
Luxation du coude (sans fracture)