URG DIJON
Recherche
Home
Favoris
Scores
Dilutions
Epaule
Humerus
Coude/Avant-bras
Bassin
Fémur
Genou
Cheville
Pied
Main
Maxillo-facial
Rachis
Anticoagulation préventive
TC léger
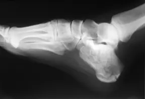
Protocoles URG Dijon
Entorse de Chopart
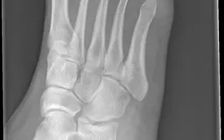
Protocoles URG Dijon
Entorse de Lisfranc
Protocoles URG Dijon
Fracture calcaneus, talus, autres os du tarse
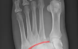
Protocoles URG Dijon
Fracture de metatarsien
Protocoles URG Dijon
Fracture de phalange
Protocoles URG Dijon
Fracture des sesamoides